Take a look at the smiles our dentists and team have made possible with our comprehensive dental services in Las Vegas, Nevada. We are dedicated to helping you achieve your best smile and are always there to make sure you are comfortable and confident about your care with Dr. Cynthia Allen or Dr. Paul Park. Call 702-363-8655 to schedule your appointment at Summerhills Dental today.
This patient had crowns placed on her lower front four teeth to restore
the severe wear and prevent further fracturing.
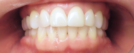
This patient had severe wear on her lower front teeth. We placed dental crowns on her front 6 lower teeth, restoring her bite and function.
This patient had severe wear from clenching and grinding. Dr. Allen placed dental crowns on all of his upper teeth restoring his bite, function, and appearance.
This patient had veneers placed on her front 6 teeth to prevent further wear and restore her beautiful smile.
This patient had implants placed after losing his front two teeth. Dr. Allen restored them with ceramic crowns giving him a beautiful natural-looking smile.
This patient had crowns and bridges on her top teeth that were old and breaking due to decay. She had her top teeth removed and replaced with AO5 dental implants.
This patient was not happy with the appearance of her upper teeth. She had a partial denture with clasps showing and old crowns on periodontally involved teeth. We removed her remaining upper teeth and replaced them with AO5 dental implants.
The patient chipped her front left tooth and had cosmetic dental veneers placed on the front two teeth to fix the break and give her a beautiful smile.
This patient was not happy with his discolored and misaligned teeth. We placed crowns on his upper teeth to restore function and give him a brighter smile.
The patient had a composite filling placed on her two front teeth after she broke them years ago. The patient wanted something more permanent and cosmetic so we placed cosmetic veneers on her front 2 teeth.
This patient wanted to improve the appearance of her smile. We placed dental veneers from premolar to premolar on her top teeth giving her a beautiful smile.
This patient has lots of chipping and wear on his front teeth. We placed dental crowns on his front 4 top teeth to restore the wear and improve the appearance.














